Zum Hauptinhalt springen
Home
Unternehmen
Produkte
Presskeramik
ConceptPress
Schichtkeramik
Schichtkeramik 9.2
Schichtkeramik 12.5
Malfarbensystem
ConceptArt
ConceptArt Structure
Zubehör
Verbrauchsmaterialien
News
Patientenfälle
Presseberichte | Downloads
Home
Unternehmen
Produkte
Presskeramik
ConceptPress
Schichtkeramik
Schichtkeramik 9.2
Schichtkeramik 12.5
Malfarbensystem
ConceptArt
ConceptArt Structure
Zubehör
Verbrauchsmaterialien
News
Patientenfälle
Presseberichte | Downloads
Patientenfälle
Vollanatomische Kronen - Maltechnik
Pellets DA3 – Maltechnik A3.5
Präparation
Okklusale Ansicht
Pellets DA3 – Maltechnik A3.5
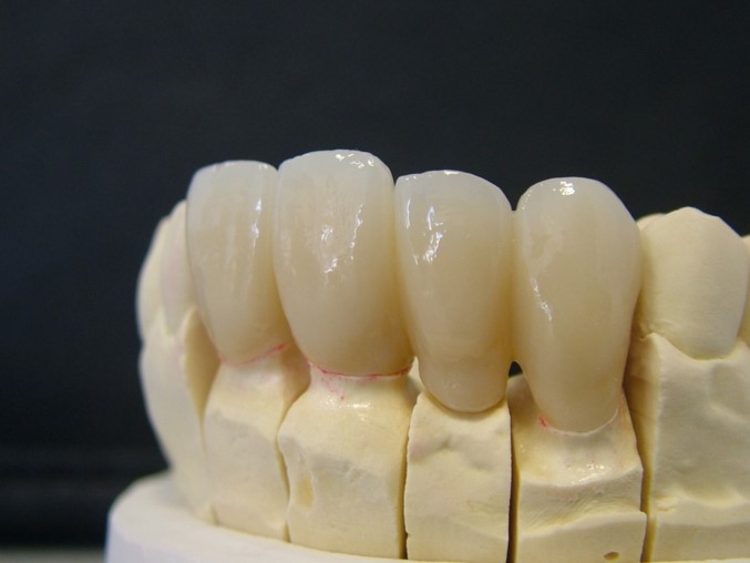
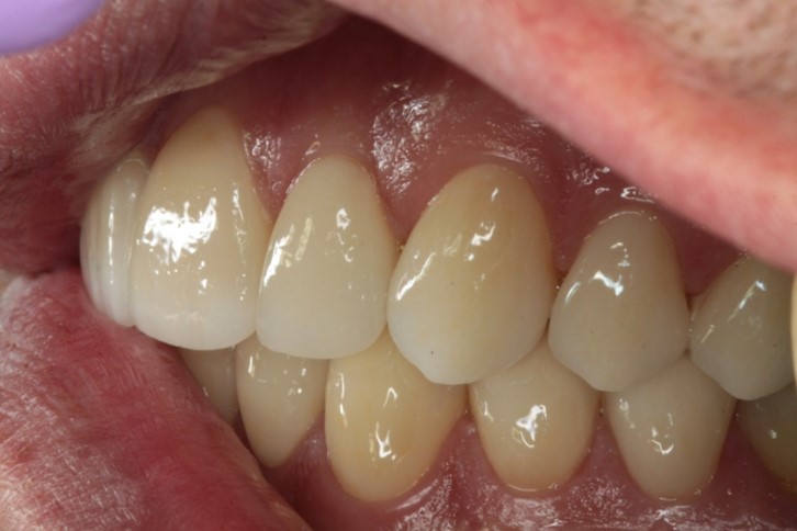
Prep Veneers
Pellet DA1 – Maltechnik A2
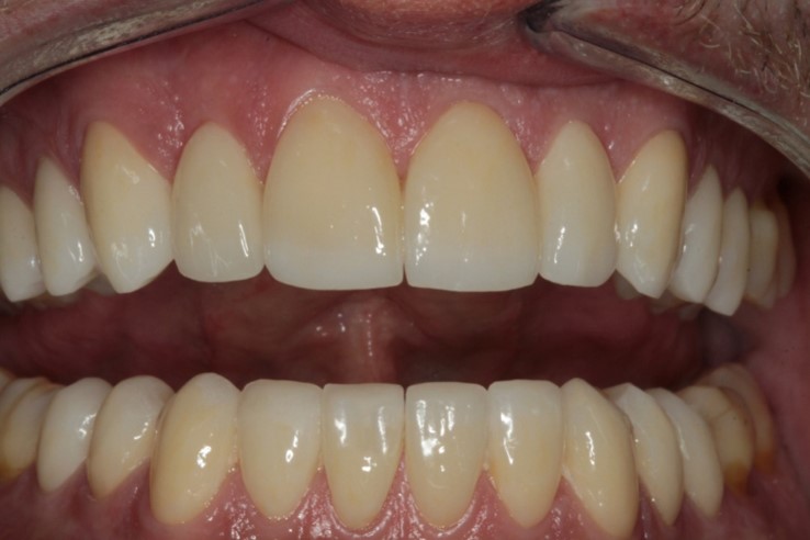
3-gliedrige Brücke
Pellet Anterior A2
Cut back
Geschichtet mit DC 9.2 Keramik
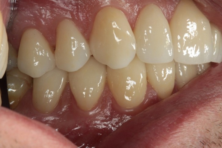
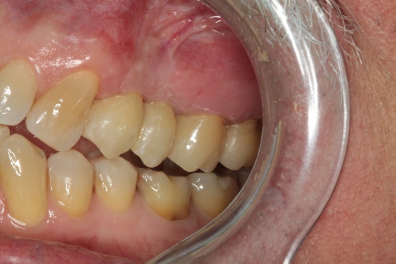
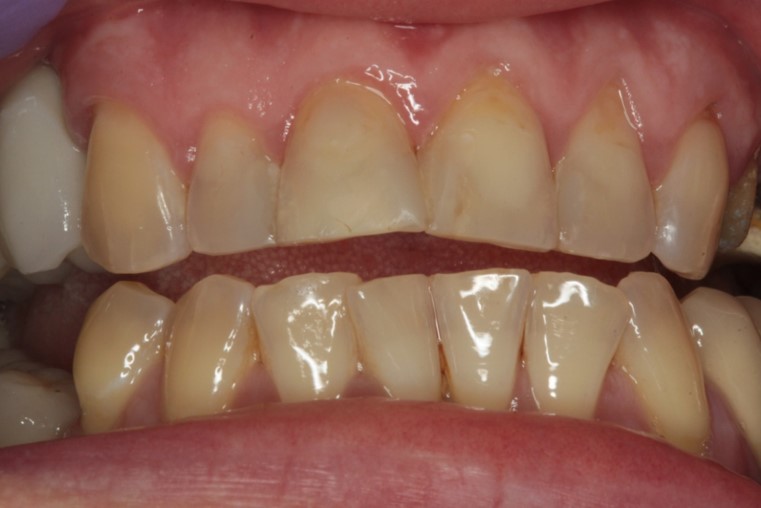
Non-Prep Veneers + Brücken Zirkonoxid
Pellet Bleach 2 – Farbe heller als A0
Situation vorher
Situation nachher
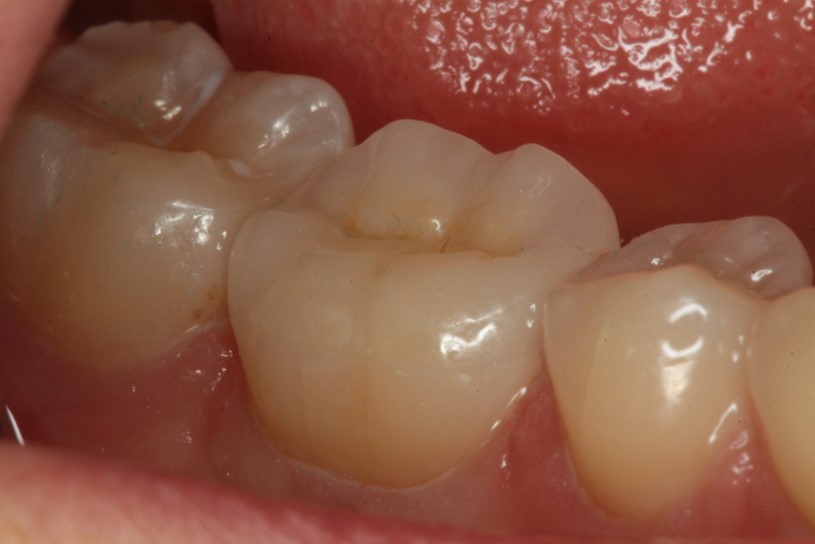
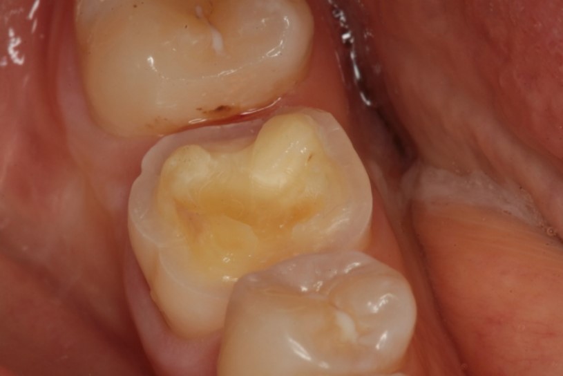
Inlay Restauration
Farbe A2 - Pellet CT2
Inlay in Zahn 45 im Mund
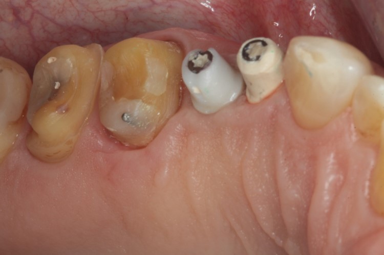
Teilkrone
Farbe A2 - Pellet CT2
Präparation
Restauration im Mund